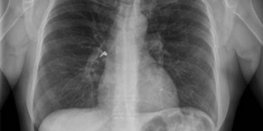
Can X-ray Show Food Stuck In Throat. It may be food liquid or some other material. I have done x-ray of throat but there is nothing detected.

Aspiration can happen when a person has trouble swallowing normally. The food may not move through the esophagus correctly resulting in the sensation of pressure in the chest or food sticking in the throat. This can cause serious health problems such as pneumonia.
Im taking gastric pills before food from 30 days but no cure is there.
Assoc Prof Craig Hacking and Radswiki et al. An ENT can address your issue but it may take time to get an appointment so the best thing to do is to go to the ER. Aspiration can happen when a person has trouble swallowing normally. Barium is a whitish paste that allows the substances to light up under an X-ray so the examiner can determine.
